Skip to content
John E. Richards Lab
Menu
Primary menu
Home
About
Projects
Publications
Team
News
Contact
November 1, 2012
Institute for Mind and Brain
University of South Carolina establishes the Institute for Mind and Brain. The Institute for Mind and Brain capitalizes on research...
Read More
September 16, 2012
Effects of Short Interstimulus Invervals (ISIs) on Infant Sustained Attention and Correlated Event-related Potentials (ERPs)
Wanze Xie: This is my qualifying project mentored by Dr. John Richards. The main idea of this project is that...
Read More
September 1, 2012
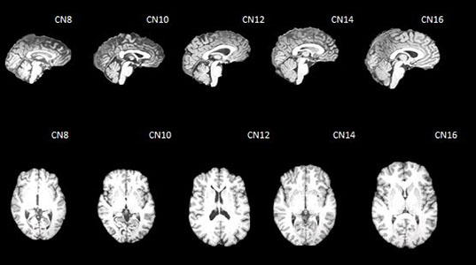
Chinese MRI Children Brain Templates
Wanze Xie, John, and Kang Lee are working on a on a project to create brain templates and atlas for...
Read More
August 16, 2012
Wanze Xie joins the lab
Wanze Xie: I joined the "JERLAB" in the fall, 2012. A milestone in my life. I am staring to learn...
Read More
June 1, 2012
“Practice Makes Perfect” University Gets A Mock MRI Scanner
A little practice never hurts, right? Even when conducted research! Everyone knows getting a MRI can be a little tricky...
Read More
March 1, 2012
Michelle HDC
Michelle gave a talk at the USC Department of Psychology Hard Data Cafe in March of 2012 on the development...
Read More
October 30, 2010
JER Named AAAS Fellow
AAAS named John Richards a fellow. Richards was recognized for contributions to the study of infant attention, with specific reference...
Read More
September 1, 2006
SAY CHEESE!!! Lab Purchases Geodesic Photogrammetry System
Our lab acquired this system to assist with localizing sources of electrical activity in the brain. The machine contains 11...
Read More
« Previous
1
…
3
4
5
Scroll Up